03-6263-9086
受付時間 11:00〜19:30
WEB予約
LINE予約
当院について
お知らせ
症例写真
施術メニュー
ヒアルロン酸リフトアップ(Vシェイプ)
ヒアルロン酸
スレッドリフト
ハイフ
ボトックス
ピコレーザー
イデバエ(メソセラピー)
ホワイトイン(メソセラピー)
リデンシティ(メソセラピー)
アップグレード(メソセラピー)
光治療
ピーリング
内服薬
ドクターズコスメ
レーザー脱毛
ダーマペン
二重 切開法
二重埋没法
下眼瞼脱脂
ボディメイク
点滴・注射
プロファイロ
イオン導入
ハイドロキノン
GLP -1
人中短縮(リップリフト)
バッカルファット除去
眉下切開
眼瞼下垂
ヒアルロニダーゼ
目頭切開法
目尻切開法
悩みから探す
しみ・そばかす・肝斑
たるみ
シワ
輪郭
脱毛
ニキビ
ニキビ痕・毛穴
ホクロ
赤ら顔
ダイエット・ボディメイク
インナービューティー
ワキ汗
目元
口元
機器から探す
yoniRF
ウルトラセル : Zi
ルクセア
ピコレーザー(エンライトン)
スプレンダーX
フォースカッター
ダーマペン4
料金表
Q&A
採用情報
アクセス・クリニック情報
menu
TOP
当院について
お知らせ
症例写真
施術メニュー
ヒアルロン酸リフトアップ(Vシェイプ)
ヒアルロン酸
スレッドリフト
ハイフ
ボトックス
ピコレーザー
イデバエ(メソセラピー)
ホワイトイン(メソセラピー)
リデンシティ(メソセラピー)
アップグレード(メソセラピー)
光治療
ピーリング
内服薬
ドクターズコスメ
レーザー脱毛
ダーマペン
二重 切開法
二重埋没法
下眼瞼脱脂
ボディメイク
点滴・注射
プロファイロ
イオン導入
ハイドロキノン
GLP -1
人中短縮(リップリフト)
バッカルファット除去
眉下切開
眼瞼下垂
ヒアルロニダーゼ
目頭切開法
目尻切開法
悩みから探す
しみ・そばかす・肝斑
たるみ
シワ
輪郭
脱毛
ニキビ
ニキビ痕・毛穴
ホクロ
赤ら顔
ダイエット・ボディメイク
インナービューティー
ワキ汗
目元
口元
機器から探す
yoniRF
ウルトラセル : Zi
ルクセア
ピコレーザー(エンライトン)
スプレンダーX
フォースカッター
ダーマペン4
料金表
Q&A
採用情報
アクセス・クリニック情報
未成年の方へ
キャンセルポリシー
03-6263-9086
受付 11:00〜19:30
24時間受付
WEB予約
LINE予約
menu
TOP
当院について
お知らせ
症例写真
施術メニュー
料金表
Q&A
採用情報
アクセス・クリニック情報
未成年の方へ
キャンセルポリシー
TOP
症例写真
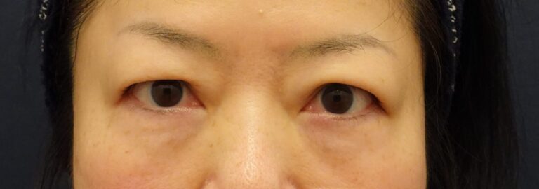
下眼瞼脱脂
CASE
症例写真
施術内容:「下眼瞼脱脂」
Before
After
たるみ
上下眼瞼脱脂+眉下切開
リスク・副作用
内出血・腫れ・感染・血腫・アレルギー・左右差・皮膚損傷
CONTACT
お問い合わせ
03-6263-9086
受付時間 11:00〜19:30
WEB予約
LINE予約